- I
Hi everyone,
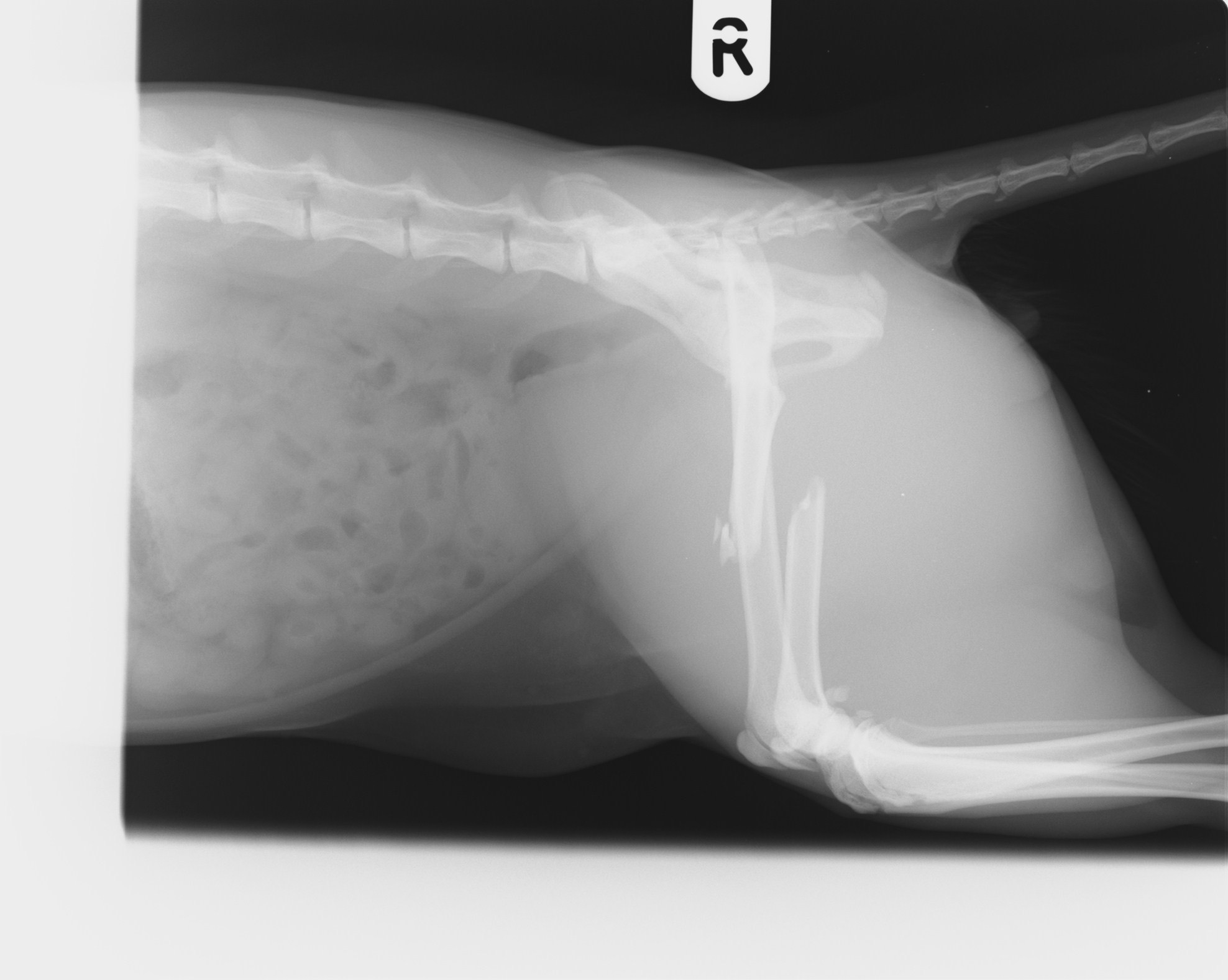
My name is Kaitlyn and I’m fundraising for our beloved cat, Sanza. He was recently hit and left on the side of the road near Shortlanesend. Sanza has serious injuries – his hip is dislocated and his femur is broken. The vets have told us he needs urgent treatment if he’s going to walk and live a pain-free life again.
I’m currently on maternity leave with our baby, and my partner and I are on a low income. The cost of Sanza’s treatment is more than we can manage, but we can’t bear the thought of losing him.
Sanza isn’t just a pet – he’s family. We had his mother, who sadly passed away, and Sanza is the only connection we have left to her. Letting him go because of money would break our hearts.
We are asking for any help, no matter how small, to go towards his vet bills and give him the chance to recover. Every donation, share, and kind word means the world to us.
Thank you from the bottom of our hearts for helping us give Sanza the love and life he deserves.




