- C
- B
- E
On May 23, everything changed for our dear friends Jo and Cody.
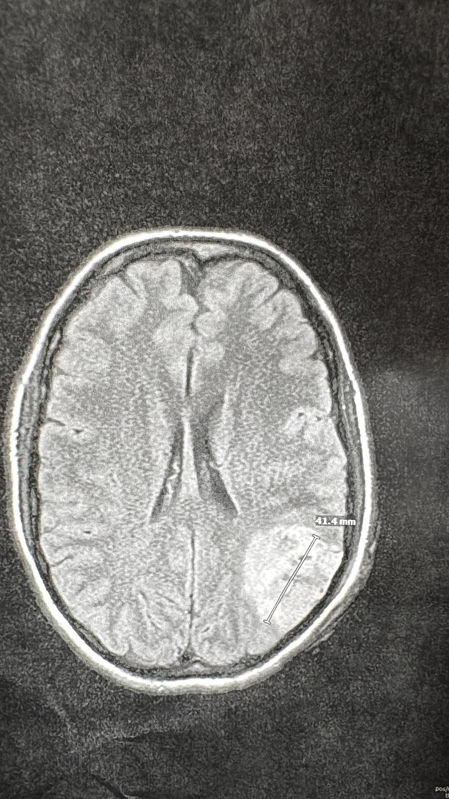
Less than two months after welcoming their beautiful baby girl, Ahava (Havie), Jo suffered a sudden and terrifying seizure. She lost consciousness and was rushed to the hospital, where an MRI revealed she had a brain tumor.
In the days that followed, Jo had multiple debilitating seizures and had to be intubated. On May 26, she underwent brain surgery. Doctors were able to remove part of the tumor, but because of its location, not all of it could be taken out.
Pathology confirmed the tumor is an Oligodendroglioma, a rare form of brain cancer. While it does carry some positive and encouraging genetic markers, such as 1p/19q codeletion and IDH1 mutation, described by her doctors "as good signs." Jo is now facing a lifetime of managing this disease.
Right now, she’s recovering from surgery and will begin speech and occupational therapy, relearning basic functions and trying to regain strength, all while caring for a newborn.
The next MRI, scheduled for late August, will help determine if the tumor is growing. Regardless, Jo will need chemo, radiation, or a targeted treatment using HDAC inhibitors. It’s a long road ahead, physically, emotionally, and financially.
To make things even harder, their insurance company is denying coverage for Jo’s life-saving brain surgery, claiming it wasn’t an emergency. Her doctors are pushing back, but the out-of-pocket costs are already overwhelming at this time, when healing is so important.
Jo and Cody are doing everything they can to hold it all together, for each other and Havie. But the weight of medical bills, therapy costs, travel to specialists, and fighting with insurance is too much for one young family to shoulder alone.
That’s where you can help.
We’re raising funds to help lift the burden, so they can focus on healing, not survival. Every dollar will go toward medical expenses, therapy, insurance appeals, and daily necessities during this critical time.
Jo is a fighter. Cody is a rock. And baby Havie is the light they’re holding onto.
No one should have to face something like this alone. Your support, whether through a donation or by simply sharing their story, can make a real difference.
Thank you from the bottom of our hearts.


