Dringende Hilfe für Minas Operation

  • H
  • C
  • D
16 Spender
0% complete

465 € gesammelt, Spendenziel: 

Dringende Hilfe für Minas Operation

Spende geschützt
Das erste Stück des Weges ist geschafft!

Die Fäden sind gezogen und die Nachuntersuchung wurde heute gemacht.
Das Implantat ist nicht eingesunken und sitzt dort wo es sein soll.
Mina geht sehr schön und belastet den Fuß auch gut.

So, das heißt in 3 - 6 Monaten ist die zweite Hüfte dran und dann gehts zur Physio ....
Bis dahin heißt es Leinenzwang (auch in unseren Garten), kein Spielen und keine Couch

Update: Nachdem es einige Probleme gab wurde Mina gestern endlich operiert.
Es geht ihr soweit gut!

Update: Die Voruntersuchungen sind gemacht und der OP Termin wurde für den 15. Oktober 2025 fixiert.


Hallo, mein Name ist Marietta und meine Maus und ich brauchen bitte eure Hilfe.
Wir waren gestern mit unserer Gamina bei Tierarzt, weil sie in letzter Zeit „irgendwie komisch“ war.
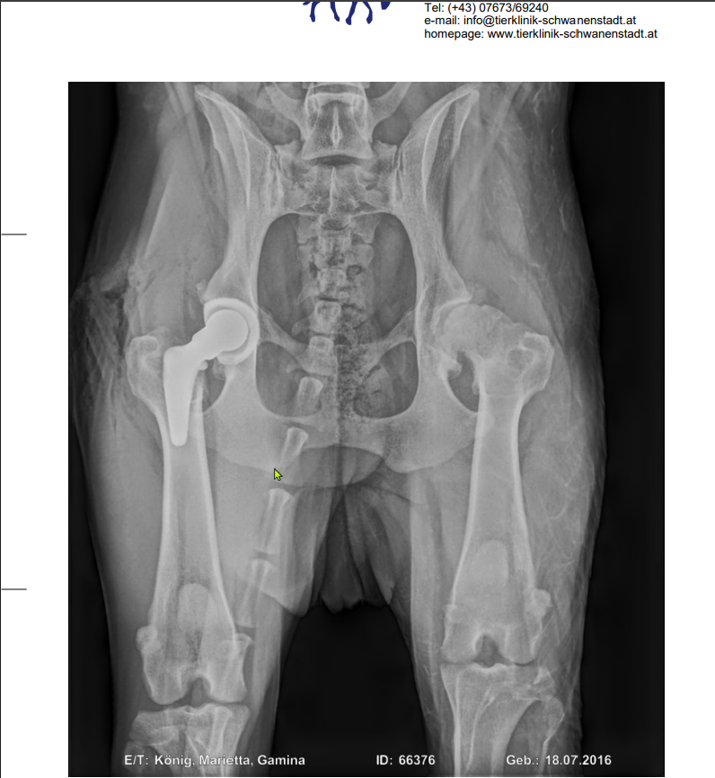
Nach einer ausführlichen Untersuchung wurde dann ein Röntgen gemacht bei dem sich zeigte, dass beide Hüften unserer Maus komplett zerstört sind und sie beidseitig ein neues Hüftgelenk braucht.

Mit 10 Wochen haben wir unsere Gamina damals aus dem Tierschutz in Kärnten geholt. Wir sind völlig aufgeregt um 5 Uhr in der Früh in Oberösterreich weggefahren, um auch ja pünktlich in Kärnten zu sein und sie abzuholen.
Gamina und ihre 4 Geschwister wurden dort geboren nach dem aufmerksame Tierschützer ihre Mutter, hochträchtig auf einem Bauernhof angekettet gefunden hatten.

Sie hat ein sanftes Wesen, liebt es neue Freunde kennenzulernen, im Wasser zu spielen oder sich im Wald auf dem Boden zu wälzen.
Sie liebt ihre Kuscheltiere und ihre Frisbee, die sie überall hin mitnimmt und auch gerne mal mit anderen Hunden oder Menschen teilt.
Sie ist ein kleiner Clown, der mich immer zum Lachen bringt und ist neben meinem Mann an vielen Tagen mein einziger Lichtblick.

Meine Maus hat Schmerzen und ich kann ihr alleine nicht mehr helfen.
Diese OPs würden ihr die Schmerzen nehmen und sie könnte wieder Spaß am Leben haben da sie sonst keinerlei gesundheitliche Probleme hat.
Wir schaffen es nicht die Kosten für diese beiden OPs alleine zu stemmen darum brauche wir bitte, bitte eure Hilfe.

Die Versicherung übernimmt die Kosten für solche Heilmaßnahmen leider nicht.
Sie ist doch erst 8 Jahre und ich muss einfach alles versuchen damit es nicht jetzt endet, damit ihre Geschichte nicht jetzt endet, nicht so …

Helft uns unserer Mina zu helfen und ihr noch viele weitere gute Jahre zu schenken.
Bitte ....

Bei den Bildern findet ihr den Kostenvoranschlag für eine der beiden benötigten Operationen und das aktuelle Röntgenbild.


Update: The preliminary examinations have been completed and the surgery date has been set for October 15, 2025.

Hello, my name is Marietta, my Gamina and I need your help, please.
We took our little girl to the vet yesterday because she's been "acting a bit weird" lately.
After a thorough examination, an x-ray was taken, which revealed that both of our little girl's hips were completely destroyed and she needed a hip replacement on both sides.

We picked up our Gamina from the animal shelter in Carinthia when she was 10 weeks old. We left Upper Austria at 5 a.m., completely excited, to make sure we were in Carinthia on time to pick her up.
Gamina and her four siblings were born there after attentive animal rights activists found their mother chained up on a farm, heavily pregnant.

She has a gentle nature, loves meeting new friends, playing in the water, or rolling around on the ground in the forest.
She loves her stuffed animals and her Frisbee, which she takes everywhere and enjoys sharing with other dogs or people. She's a little clown who always makes me laugh and, besides my husband, is my only bright spot on many days.

My little girl is in pain, and I can't help her anymore on my own.
These surgeries would relieve her pain, and she could enjoy life again, as she doesn't have any other health problems.
We can't cover the costs of these two surgeries on our own, so we need your help, please.

Unfortunately, the insurance does not cover the costs of medical treatment of this kind
She's only 8 years old, and I simply have to do everything I can to ensure that it doesn't end now, that her story doesn't end now, not like this...

Help us help our Mina and give her many more good years.
Please...

In the pictures you will find the cost estimate for one of the two required surgeries.

Organisator

Marietta Koenig
Organisator
Vienna
  • Tiere
  • Spende geschützt

Deine einfache, effektive und sichere Anlaufstelle für Hilfe

  • Einfach

    Schnell und einfach spenden

  • Effektiv

    Unterstütze Menschen und Zwecke, die dir am Herzen liegen

  • Sicher

    Deine Spende ist durch die Spendengarantie von GoFundMe geschützt