I’m raising funds to see a private spine specialist for chronic pain and nerve issues caused by DISH and degenerative disc disease. Public care is Months away — I just want my life (and mobility) back.
Hey everyone,
My name’s Dean, and I’m reaching out because I really need some help getting proper treatment for my spine and chronic pain.
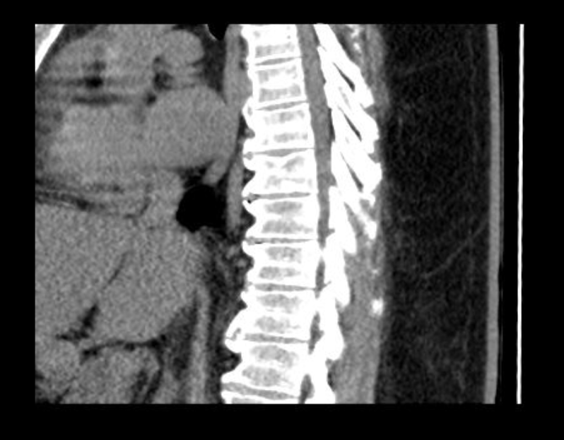
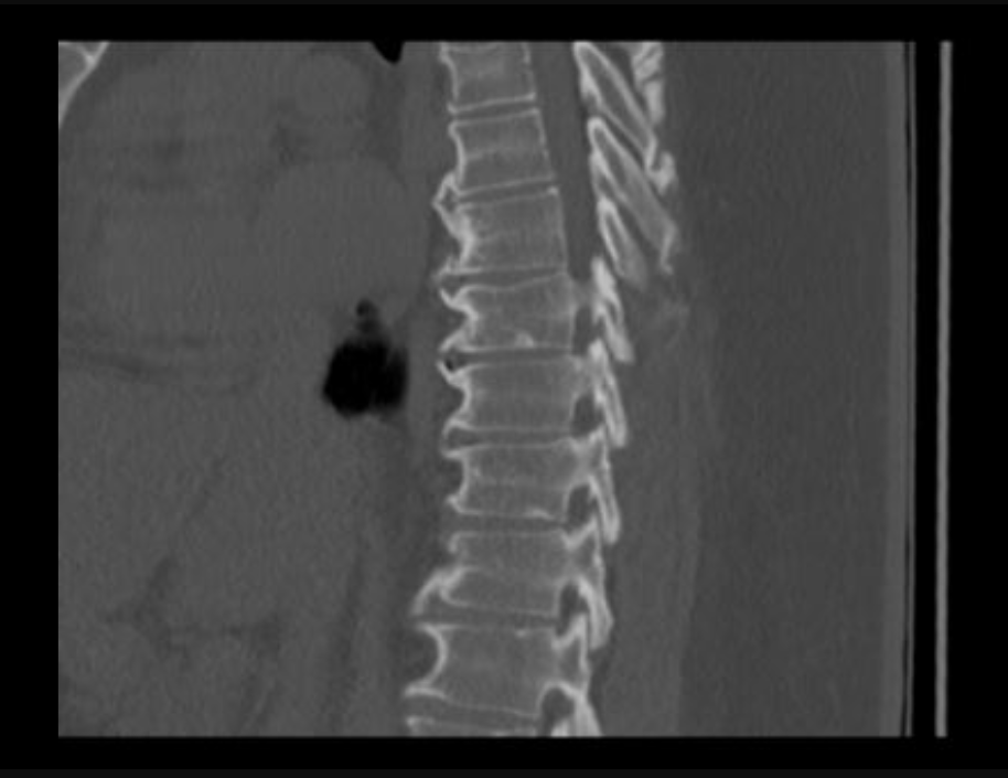
I’ve been diagnosed with Diffuse Idiopathic Skeletal Hyperostosis (DISH) and degenerative disc disease — both cause my spinal bones to stiffen and press on nerves. The pain runs across my lower back, hips, and legs, and sometimes even causes numbness around my lower back and thighs. I’ve tried to keep pushing through, but lately, even sleeping or sitting too long hurts.
I’m currently managing pain with buprenorphine patches, nerve medication, and other pain relief, but these are only temporary fixes. My GP and hospital team agree that I need to see a private spine or orthopaedic specialist to plan long-term treatment — possibly including procedures or surgery to relieve the nerve compression.
The problem is, the public system wait times are months long, and the pain’s becoming unbearable. That’s why I’m asking for help.
What the funds will go toward:
Private spine specialist consultations
Updated imaging (MRI, scans, etc.)
Travel and medication costs
Physiotherapy or pain management sessions not covered by Medicare
I’m not the type to ask for help easily, but this pain has really taken its toll. I just want to be able to walk, sleep, and live normally again — and hopefully return to streaming and spending more quality time with my kids without being held back by constant pain.
If you can donate, share, or even just send some support — it all means the world to me.
Thank you for reading my story and helping me take a step toward healing.
— Dean






