Hola, me llamo Genn, soy drag queen y creador de contenido digital, hostess y productora audiovisual independiente. El 19 de Septiembre tuve un accidente con Uber Moto. Ese día iba tarde a mi trabajo y se me hizo lo más práctico y veloz pedir la opción de moto en la app de Uber. El conductor iba manejando relativamente bien hasta a media ruta hacia mi destino, el conductor prácticamente se quedó dormido mientras conducía sobre el periférico y me estrelló contra un muro de contención de concreto mientras aún seguía en movimiento. Mi rodilla
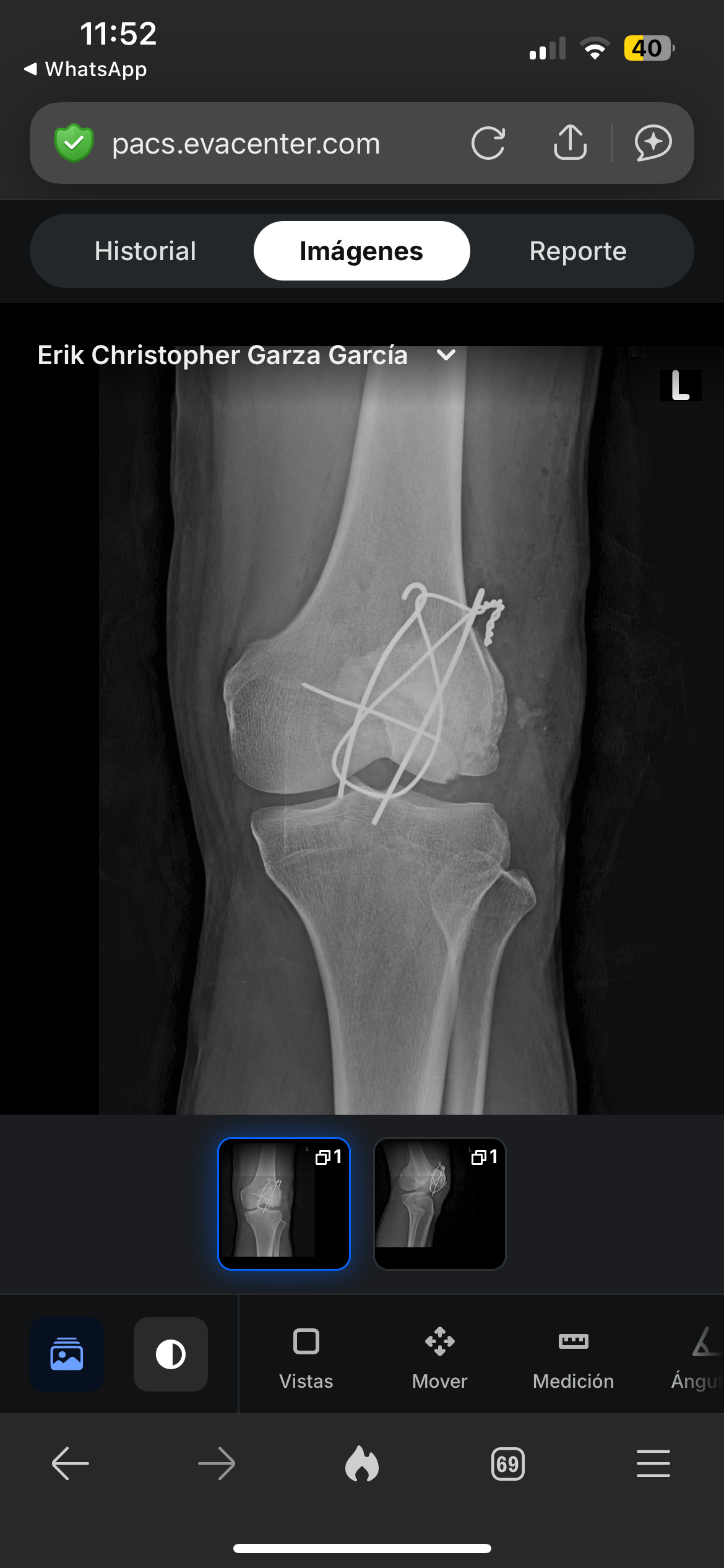
tuvo una fractura expuesta y quedó hecha pedacitos.
El conductor se orilló, me bajé a como pude de su moto, el nunca se bajó, y después huyó cobardemente y me dejó tirado en la calle con la rodilla rota. Dejo su perfil en Uber el cual ya fue suspendido:
La ayuda del 911 nunca llegó y después de 50 minutos tirado en la calle, una ambulancia privada me llevó a la Cruz Roja. Tuve una cirugía de emergencia de la que aún no me recupero y me falta un largo proceso aún para poder volver a caminar y retomar mi vida normal.
Salí del quirófano con 3 clavos y un alambre para unir los pedazos de mi rótula, muchos puntos y mucho dolor.
Por ahora perdí trabajos y la oportunidad de seguir produciendo mi contenido. He estado y seguiré en cama un buen rato. Dependo completamente de ayuda para absolutamente todo, para alimentarme, para comer, para conseguir mis medicamentos, para todo. Así que mi vida prácticamente se detuvo por completo.
La verdad esto ha sido muy doloroso, cansadísimo, injusto, indignante y muy costoso. No solo para mí, si no para mis seres queridos también.
Desgraciadamente no cuento con seguro de gastos médicos pero conseguí el dinero para pagar los gastos hospitalarios pero ahora debo reembolsar el dinero. Uber aún no se hace responsable directamente
y la aseguradora esta dispuesta a reembolsar los gastos ya efectuados, pero aún no lo han hecho y tengo que devolver ese dinero. Por otro lado quedan terapias de rehabilitación, psicológicas, medicamentos, la incertidumbre de si podré volver a caminar normal y el proceso legal que quiero llevar a cabo en contra del conductor y de dichas empresas.
Por favor, ayúdenme. No sé si Aseguradora Axa termine reembolsando el dinero pero por lo pronto me siento acorralado y sobre todo preocupado porque si algo me han dicho es que tengo que hacerme a la idea de que esto va para largo y la verdad esto me imposibilita de trabajar de muchas formas en las que normalmente genero dinero y tengo cuentas que pagar como todos.
Tengo recibos de todo lo que he gastado en Cruz Roja hasta ahora para comprobar los gastos que por el momento tengo que reembolsar porque ya se efectuaron los gastos.
Ayúdame con lo que puedas. ayúdame a a tener tranquilidad en todo este proceso tan difícil e inesperado. Todo es bien recibido, de a peso en peso sé que lo podemos lograr.






