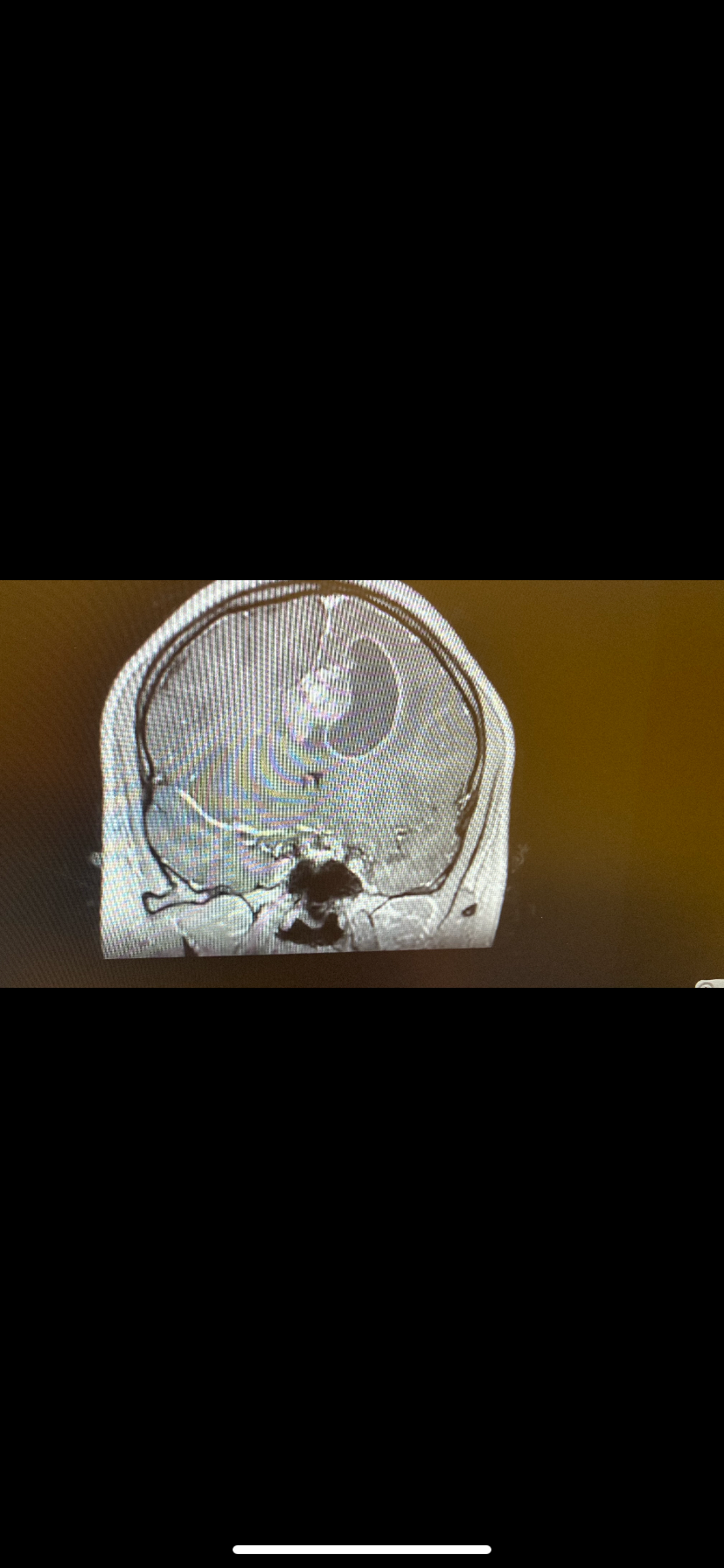
This isn’t the kind of thing you think you’ll ever find yourself having to do. My sweet cousin Rachel Nix is 26 years old. We just found out that she will be having brain surgery next Wednesday because they found a 2-inch tumor on her frontal lobe that has caused massive inflammation and fluid on her brain. They will test it after removal to see if it is benign. It has negatively affected her in many different ways, causing weakness on her whole right side, migraines, and confusion. She isn’t able to work or even drive. She is on anti-seizure medication as well. I was hoping to be able to gift her, from the generosity and kindness of others, some financial help. This is a hard hit for her and I wish I could ease some of her stress. Fingers crossed this finds the right kind of people. And if anything, prayers are also appreciated. Thank you, everyone, for visiting this profile ❤️






