- M
- E
- L
Liebe Freunde, Familie und Tierliebhaber,
heute wende ich mich mit einem ganz besonderen Anliegen an euch.
Mein 1,5-jähriger Hund Loki ist nicht nur ein Haustier für mich, sondern ein fester Bestandteil meiner Familie. Tiere waren für mich immer mehr als nur Begleiter; sie sind unsere treuen Freunde und ein Teil der Familie, die uns bedingungslos lieben.
Loki kommt ursprünglich aus dem Ausland und hat dort mit seinen Geschwistern auf der Straße gelebt. Sie waren erst wenige Wochen alt und ohne Mutter, als alle Welpen außer Loki gestorben sind.
Ich war über glücklich dem kleinenein neues Zuhause geben zu können❤️
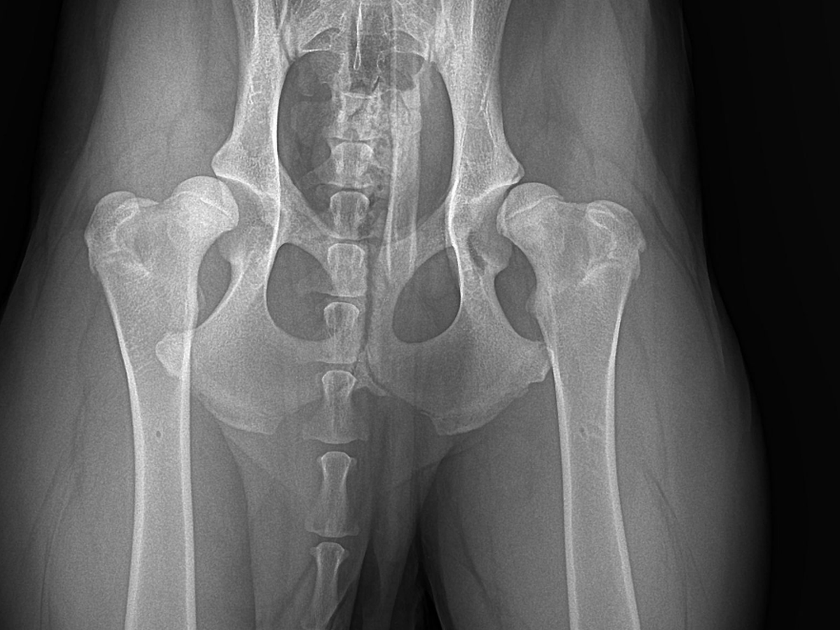
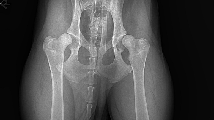
Leider musste ich früh feststellen, dass mit diesem kleinen Würmchen etwas nicht stimmt. Also mache ich einen Termin in der Tierklinik. Nach einem Röntgen seiner Hüfte wurde mein schlechtes Gefühl und schlimme Befürchtung bestätigt: Die Tierärzte haben mir mitgeteilt, dass seine Situation ernst ist und beide Seiten seiner Hüfte betroffen sind. Diese Nachricht hat mein Herz gebrochen.
Auch die geplante Kastration für ihn war somit vom Tisch, da die Hormone die ein nicht kastriert Hund produziert, eine entscheidende Rolle beim Muskelaufbau und der allgemeinen körperlichen Entwicklung spielen. Wenn Loki kastriert wird, könnte dies seine Fähigkeit beeinträchtigen, diese Hormone in ausreichendem Maße zu produzieren, was sich negativ auf seine körperliche Fitness und Vitalität auswirken könnte.
Loki ist zwar schlank, jedoch mit seinen derzeit 65kg bereits jetzt schon ein „riesiges Baby“,was für seine Problematik nicht gerade hilfreich ist. Um ihm zu helfen, bin ich mit ihm regelmäßig zur Physiotherapie gegangen, wo er mitunter auf das Unterwasserlaufband gehen konnte. Diese Therapieform hat sich als äußerst hilfreich erwiesen, um seine Schmerzen zu lindern und seine Mobilität zu verbessern. Doch die Realität ist, dass es durch Schichtdienst, weitere Verpflichtungen etc. zeitlich sehr schwierig ist, dies in regelmäßigen abständen zu gewährleisten. Auch finanziell ist es natürlich keine kleine Sache.
Deshalb bitte ich euch um Unterstützung. Mit eurer Hilfe möchte ich ein Unterwasserlaufband für Loki finanzieren, damit er ein schmerzfreies Leben führen kann. Diese Therapie könnte ihm nicht nur helfen, seine Lebensqualität erheblich zu steigern, sondern möglicherweise auch eine große Operation verhindern, die für ihn eine enorme Belastung darstellen würde.
Jeder Beitrag, egal wie klein, kann einen großen Unterschied machen. Gemeinsam können wir Loki die Chance auf ein glückliches und schmerzfreies Leben geben.
Ich wünsche mir, dass Loki nur die besten Voraussetzungen für ein gesundes und aktives Leben hat.
Ich danke euch von Herzen für eure Unterstützung und euer Mitgefühl!






