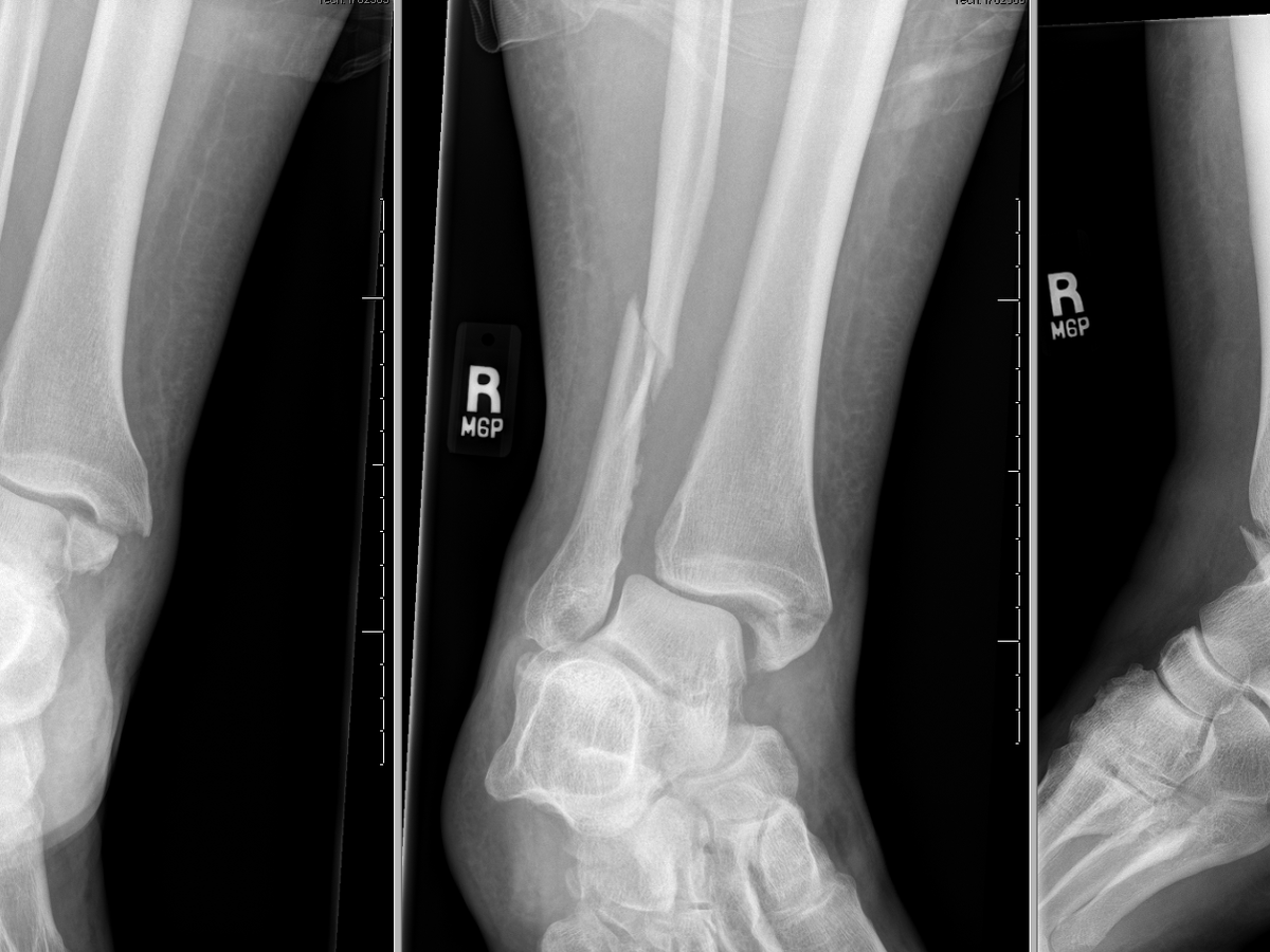
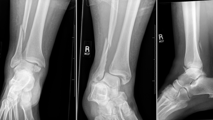
Hello, and thank you for taking the time to read this. My name is Rhena, and on February 4th, I slipped and broke both the tibia and fibula of my right leg near the ankle as I was walking to work. I have been off work since, and will be for the next few months. I am working on getting on temporary disability, but I have rent and bills coming up in a few weeks and need assistance. I greatly appreciate any help you can offer, whether it's $5 or just sharing my gofundme.
My ID has expired so I am not able to withdraw any funds myself, but my dear friend Niamh agreed to let me add her as a beneficiary. She will withdraw the funds on my behalf and then forward them to me.
The donations are primarily to help me pay rent while I am out of work and waiting for my disability claim, but also to help cover expenses for my friends who I will be staying with in the meantime, as my apartment is on the 3rd floor of a building without an elevator.
Thank you again for your time, and any help you can offer. ❤️
Organizer and beneficiary
Niamh Ritchie
Beneficiary




