¡Ayudemos a Aura a recuperar su salud!
Aura Bloise es una excelente madre, esposa y amiga venezolana que vio su vida cambiar de golpe con la aparición del cáncer (adenocarcinoma de pulmón), el impacto de esta noticia ha hecho que su familia requiera ayuda, por este motivo, para salvar su vida y mejorar su salud acudimos a ustedes.
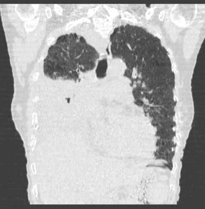
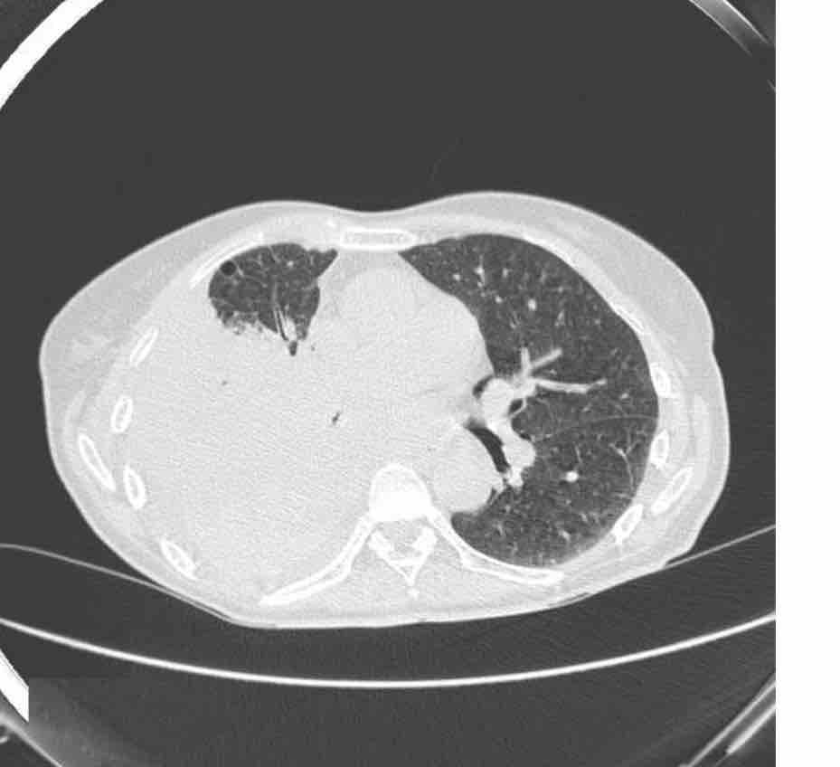
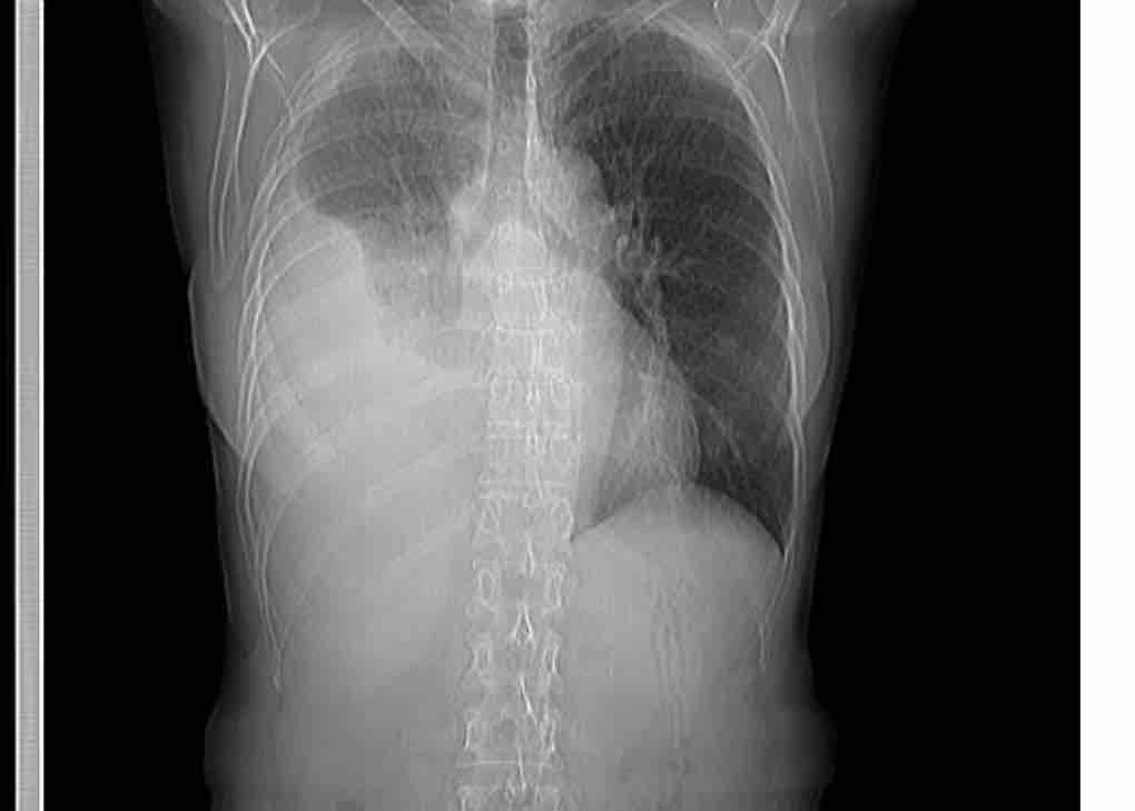
Sus problemas de salud comenzaron en abril de este año, con lo que se pensó que era una tos, para mayo ya era claro que el problema era mayor. Se le realizó en junio un TAC de Tórax que reveló un tumor y lo que ya parecía ser cáncer. Sin embargo, lo complicado de la zona evitó que al momento de obtener una prueba de tejido se pudiera diagnosticar correctamente con una biopsia, un segundo examen reveló la enfermedad.
Desde que su malestar inició hace ya tres meses, la salud de Aura se ha venido en decadencia, con un malestar constante, dolor en el área pulmonar, poca oxigenación de la sangre e inclusive la acumulación de líquido en su pulmón (derrame pleural).
La situación médica en Venezuela y el alto costo de los tratamientos médicos obligaron a ingresarla en el Hospital Militar de Caracas luego que la junta médica que ha revisado su caso determinó que ya no puede estar en otro sitio que no sea un centro médico. Con el diagnóstico dado, ahora tanto ella como su familia necesitan apoyo económico.
Hasta la fecha, lo único que se ha podido hacer para mejorar su situación ha sido drenar sus pulmones del líquido y proveerla de oxigeno. Pero para la batalla con el cáncer se necesita más. Cualquier cosa puede ayudar en la lucha por darle a Aura una oportunidad de vencer esta enfermedad.
¡Ayúdanos a recuperar la salud de Aurita!
——————————————-
Let's help Aura get her health back!
Aura Bloise is an excellent Venezuelan mother, wife and friend who saw her life change suddenly with the appearance of cancer (adenocarcinoma of the lung), the impact of this news has made her family require help, for this reason, and in order to save her life. and improve her health we come to you.
Her health problems began in April of this year, with what was thought to be just a cough, by May it was already clear that the problem was greater. She underwent a chest CT scan in June that revealed a tumor and what already seemed to be cancer. However, the complexity of the area prevented her from being able to be correctly diagnosed with a biopsy at the time of obtaining a tissue test, a second examination revealed the disease.
Since her discomfort began three months ago, Aura's health has been in decline, with constant discomfort, pain in the lung area, little oxygenation of the blood and even the accumulation of fluid in her lung ( pleural effusion).
The medical situation in Venezuela and the high cost of medical treatment forced her to be admitted to the Caracas Military Hospital after the medical board that has reviewed her case determined that she can no longer be anywhere other than a medical center. With the given diagnosis, now both she and her family need financial support.
To date, the only thing that has been done to improve her situation has been to drain her lungs of fluid and provide her with oxygen. But for the battle with cancer, more is needed. Anything can help in the fight to give Aura a chance to beat this disease.
Help us restore Aurita's health!









Organizer
Ariana Requena
Organizer
Tomball, TX

