- T
- A
- A
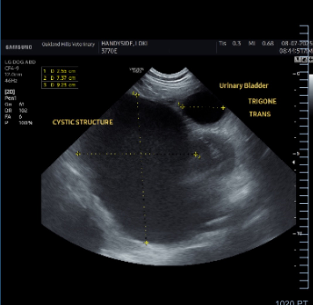
Hi, my name is Audrey. Recently, my dad’s dog Loki has been experiencing some urinary issues. After multiple diagnostics, we found in an ultrasound that Loki has an obstruction next to his bladder. This obstruction requires an abdominal exploratory surgery. The doctors aren’t sure exactly what this obstruction is, but it is a fluid filled mass causing disruption in Loki’s abdomen. This can get very serious very quickly if we don’t take care of it. On top of that, he’s being treated for a UTI due him not being able to urinate properly.
My dad doesn’t know I set this gofundme up for him. My dad is the caretaker of the family, and he never asks for help. He carries the weight of the world on his shoulders and I’m desperate to help him in anyway I can. Anyone who knows him knows he would give the shirt off his back for a stranger. He’s currently taking care of both of my grandparents, his parents, who are both getting screened for cancer and other medical issues.
My grandparents, as well as the rest of the family, are heartbroken to find this out in the midst of everything else going on with my grandparents. It’s hurting me to watch them have to endure so much all at once. The surgery itself will range anywhere from $6,000 to $8,000. I just want to try and help with anything I can because my family deserves some relief.
Even if you can’t donate, thank you giving me the time.



